Implant cases on a faster Brentwood timeline
Smyleee Rating
Good
Same Day Smiles Nashville is a Brentwood practice positioned around a specific patient need: getting through an implant case in fewer appointments than the traditional staged-treatment approach. The Cool Springs office is set up so that patients with limited time off work — Brentwood, Franklin, Green Hills, and the southern Davidson County professionals who can't string together multiple half-day absences across many months — can move through implant treatment on a compressed schedule that still respects the actual biology of how implants integrate with bone.
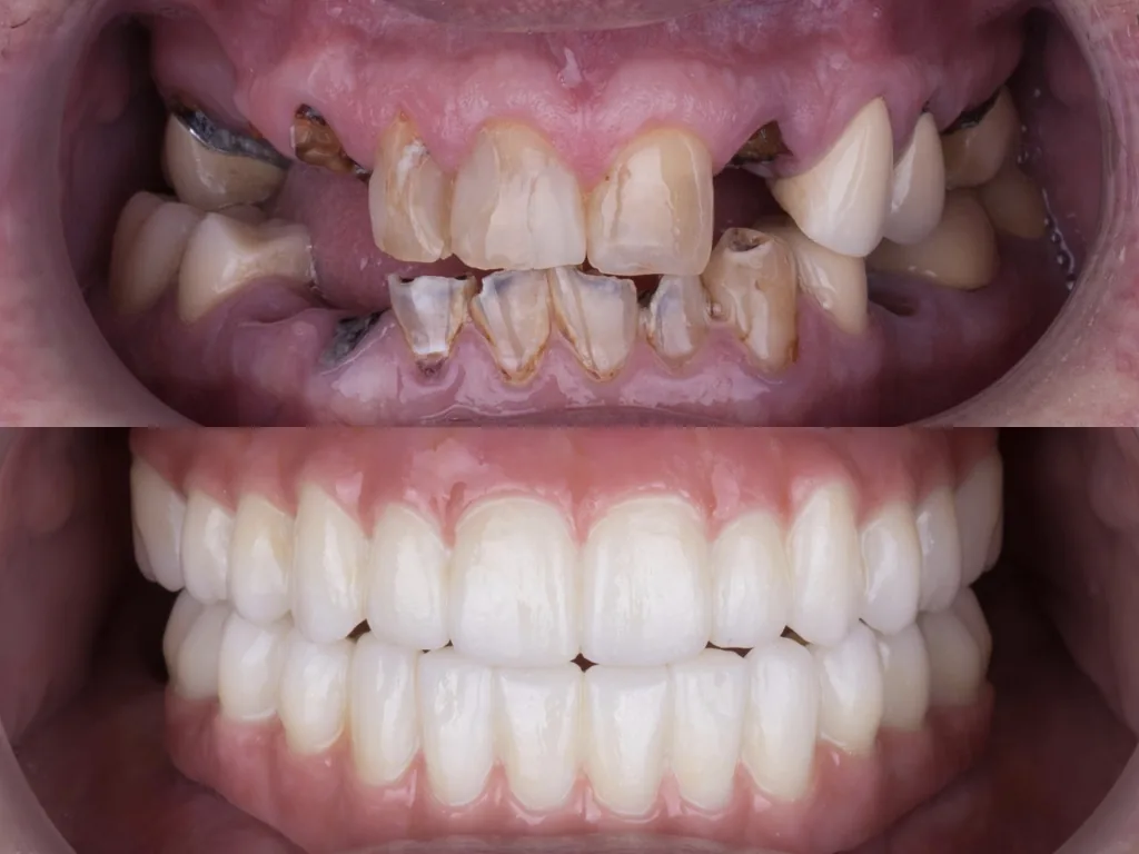
You can have a single tooth replaced or move to a full-arch restoration here. Same-day implants is the term most patients arrive asking about, and the clinic's job in the consultation is to explain what that actually means: extraction of the failing tooth, placement of the implant fixture, and fitting of a temporary prosthesis all happening in one visit, with the permanent crown or full-arch bridge installed weeks later once osseointegration has stabilized. Bone grafting and oral surgery are handled in-house — which is what makes a single-visit start point even possible, since fewer referral handoffs means fewer scheduling delays.
If you're a working professional who can't take three or four mornings off across the next several months for staged implant appointments, this is the kind of practice built to make that schedule work.
On cost, a consultation here is the place to get a real quote rather than a generic price band — same-day workflows have specific cost implications that vary case by case, and the office walks through them line by line. Patients researching best clinics for same-day dental implants in Brentwood, the affordable implant dentist in Brentwood, TN bracket, or cost-effective dental implants in Brentwood under $3,000 typically arrive with budget questions and leave with a structured quote. For anyone Googling cheap tooth implants near Brentwood, this office is a sensible first stop.
A Brentwood implant practice positioned around shorter same-day workflows — extraction, fixture placement, and a temporary prosthesis in a single visit — covering single-tooth, full-arch, and full mouth rehabilitation cases for southern-metro patients with limited time off work.
| Monday | 8:00 AM – 4:00 PM |
| Tuesday | 8:00 AM – 4:00 PM |
| Wednesday | 8:00 AM – 4:00 PM |
| Thursday | 8:00 AM – 4:00 PM |
| Friday | Closed |
| Saturday | Closed |
| Sunday(Today) | Closed |