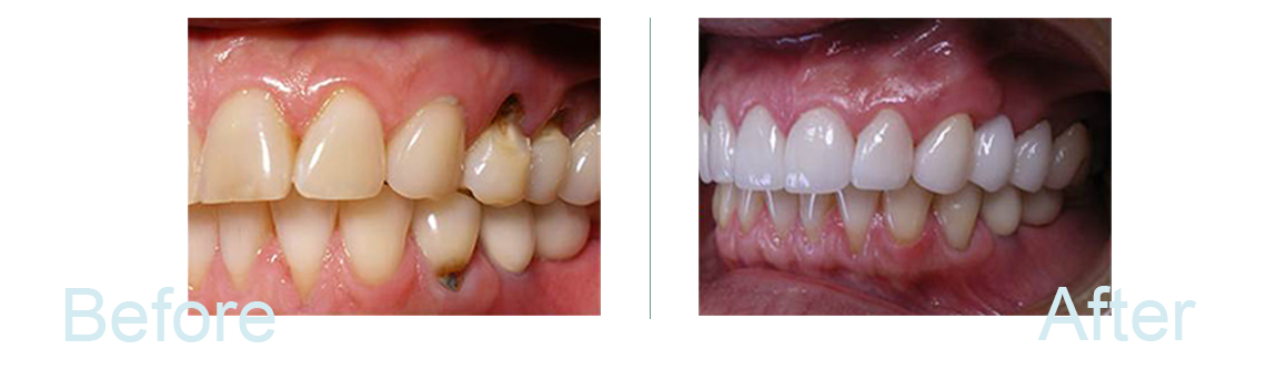
Professional teeth whitening is a cosmetic dental procedure that lightens teeth and removes stains and discoloration. It is one of the most popular cosmetic dental procedures because it can significantly improve the appearance of your teeth.
Service overview
Professional teeth whitening is a cosmetic dental procedure that lightens teeth and removes stains and discoloration. It is one of the most popular cosmetic dental procedures because it can significantly improve the appearance of your teeth.
Professional teeth whitening is a cosmetic dental procedure that lightens teeth and removes stains and discoloration. It is one of the most popular cosmetic dental procedures because it can significantly improve the appearance of your teeth.
Teeth whitening is ideal for anyone with stained or discolored teeth due to aging, coffee, tea, wine, or tobacco use. It is a safe and effective way to enhance your smile without invasive procedures.
Browse clinics
2144 clinics offer teeth whitening. Compare ratings, prices, and reviews to find the perfect match.
Showing clinics across all cities, while still prioritizing United States and nearby markets ahead of the wider global pool.

Have you ever felt rushed and ignored when you go to a doctor’s office? We understand that feeling. And, at our office, we make it a daily commitment to listen to your needs. Our patients rarely have to wait beyond their scheduled appointment time. In most cases, you will be the only patient in the office. Come and visit us. We think you’ll be pleasantly surprised. Modern dentistry can be surprisingly gentle. The main factor is taking time to be gentle and careful. We’re not under any constraint

West Lafayette, IN
Have you ever felt rushed and ignored when you go to a doctor’s office? We understand that feeling. And, at our office, we make it a daily commitment to listen to your needs. Our patients rarely have to wait beyond their scheduled appointment time. In most cases, you will be the only patient in the office. Come and visit us. We think you’ll be pleasantly surprised. Modern dentistry can be surprisingly gentle. The main factor is taking time to be gentle and careful. We’re not under any constraint

Ladd Dental Group was founded in 1978! We provide a wide range of #dental services to meet the needs of the Kokomo, Peru, Greentown, Bunker Hill, Wabash and surrounding Indiana communities. We provide general, family, and cosmetic dentistry. We also have a board certified Oral Surgeon, Prosthodontist, as well as providing sedation dentistry. Having six general dentistry practices located throughout Central Indiana allows us to provide general and specialized dental care at our patient's convenie

Kokomo, IN
Ladd Dental Group was founded in 1978! We provide a wide range of #dental services to meet the needs of the Kokomo, Peru, Greentown, Bunker Hill, Wabash and surrounding Indiana communities. We provide general, family, and cosmetic dentistry. We also have a board certified Oral Surgeon, Prosthodontist, as well as providing sedation dentistry. Having six general dentistry practices located throughout Central Indiana allows us to provide general and specialized dental care at our patient's convenie

We want every detail of your visit with us to be pleasant and worry-free. Our experienced team values long-term relationships with our patients because we can provide the most appropriate care when we understand what is important to you. When we are treating you, our complete focus is on your comfort and your needs. Dr. Au seeks to create a collaborative environment where your concerns are heard and you are an active participant in your oral health care. We work hard to ensure that your surround

Berkeley, CA
We want every detail of your visit with us to be pleasant and worry-free. Our experienced team values long-term relationships with our patients because we can provide the most appropriate care when we understand what is important to you. When we are treating you, our complete focus is on your comfort and your needs. Dr. Au seeks to create a collaborative environment where your concerns are heard and you are an active participant in your oral health care. We work hard to ensure that your surround

If you and your child are looking for a pediatric dentist in Broward County, FL, search no further! Our team of experienced dentists near you would love to welcome anyone to LUV Pediatric Dentistry. We welcome kids from all backgrounds, including infants, teens, and those with special needs. For years, we have provided dental care to our patients in the community with a comprehensive range of services, including dental crowns, sealants, pulpotomy, different types of crowns, space maintainers, ea

Sunrise, FL
If you and your child are looking for a pediatric dentist in Broward County, FL, search no further! Our team of experienced dentists near you would love to welcome anyone to LUV Pediatric Dentistry. We welcome kids from all backgrounds, including infants, teens, and those with special needs. For years, we have provided dental care to our patients in the community with a comprehensive range of services, including dental crowns, sealants, pulpotomy, different types of crowns, space maintainers, ea

“Beautiful smiles through expert implant and cosmetic dentistry”
Cosmetic and implant dentistry center in Chandler offering comprehensive dental care with a focus on aesthetic excellence.

Chandler, Arizona
“Beautiful smiles through expert implant and cosmetic dentistry”
Cosmetic and implant dentistry center in Chandler offering comprehensive dental care with a focus on aesthetic excellence.

“Your trusted dental care provider in Chandler”
Comprehensive dental practice in Chandler offering general, cosmetic, and implant dentistry services.

Chandler, Arizona
“Your trusted dental care provider in Chandler”
Comprehensive dental practice in Chandler offering general, cosmetic, and implant dentistry services.

Powder River Dental offers quality, compassionate dental services for patients throughout Northeast Wyoming. From routine cleanings and exams to cosmetic and restorative dentistry, we are dedicated to offering the latest in dental care, while prioritizing our patients’ comfort and needs. As the largest practice in Gillette, WY, our dental office provides care for families and patients of all ages. Our highly-qualified doctors and staff maintain cutting-edge skills and use the latest dental techn

Gillette, WY
Powder River Dental offers quality, compassionate dental services for patients throughout Northeast Wyoming. From routine cleanings and exams to cosmetic and restorative dentistry, we are dedicated to offering the latest in dental care, while prioritizing our patients’ comfort and needs. As the largest practice in Gillette, WY, our dental office provides care for families and patients of all ages. Our highly-qualified doctors and staff maintain cutting-edge skills and use the latest dental techn


Overland Park, KS

Dr. O’Leary is truly humbled to be of service to his many guests that visit us. He welcomes each and all with his unique playfulness and sense of humor. Although his passion is your dental rehabilitation; it is the relationships that he develops with his guests that he truly thrives upon. O’Leary Dental opened its practice in August of 1992 at 2004 West Court Street, Janesville. Our focus has traditionally been Cosmetic dentistry : What else do you call getting all the lead out? White restoratio

Janesville, WI
Dr. O’Leary is truly humbled to be of service to his many guests that visit us. He welcomes each and all with his unique playfulness and sense of humor. Although his passion is your dental rehabilitation; it is the relationships that he develops with his guests that he truly thrives upon. O’Leary Dental opened its practice in August of 1992 at 2004 West Court Street, Janesville. Our focus has traditionally been Cosmetic dentistry : What else do you call getting all the lead out? White restoratio

The moment you walk through our doors, our team is ready to greet you by name and get you started on the transformation of your smile. We offer treatments specially designed to improve your oral health and your overall quality of life. Whether you need cosmetic treatment, preventive care or restorative care, we are happy to learn how we can be of service to you.

Hutchinson, KS
The moment you walk through our doors, our team is ready to greet you by name and get you started on the transformation of your smile. We offer treatments specially designed to improve your oral health and your overall quality of life. Whether you need cosmetic treatment, preventive care or restorative care, we are happy to learn how we can be of service to you.

We are a family friendly, compassionate, and knowledgeable dental office that truly cares about our patients . We treat our patients like family, not just as a set of teeth. We want to get to know the person behind the smile, so we can cater to your specific dental needs.

Chanhassen, MN
We are a family friendly, compassionate, and knowledgeable dental office that truly cares about our patients . We treat our patients like family, not just as a set of teeth. We want to get to know the person behind the smile, so we can cater to your specific dental needs.

Chanhassen Dental has been proudly serving Chanhassen, Chaska, Eden Prairie, Victoria, Minnetonka, Excelsior, and the surrounding communities, for 40 years. We are a family friendly, compassionate, and knowledgeable dental office that truly cares about our patients. Our doctors have been recognized as Top Dentists in Minneapolis/St. Paul Magazine and Minnesota Monthly Magazine, and we attribute that to our great patients. We kindly treat kids from 2 to 99+ years old with gentle and experience ha

Chanhassen, MN
Chanhassen Dental has been proudly serving Chanhassen, Chaska, Eden Prairie, Victoria, Minnetonka, Excelsior, and the surrounding communities, for 40 years. We are a family friendly, compassionate, and knowledgeable dental office that truly cares about our patients. Our doctors have been recognized as Top Dentists in Minneapolis/St. Paul Magazine and Minnesota Monthly Magazine, and we attribute that to our great patients. We kindly treat kids from 2 to 99+ years old with gentle and experience ha

Our dental professionals offer a wide variety of services, such as cosmetic and restorative dentistry, tooth whitening, and emergency treatment .

Topeka, KS
Our dental professionals offer a wide variety of services, such as cosmetic and restorative dentistry, tooth whitening, and emergency treatment .

Thank you for visiting our online office! Here at Hutchinson Family Dental, there is no reason why you cannot receive dental care that is both enjoyable and effective. Dr. Jay Stucky and our caring dental team look forward to building lasting relationships with you and your family that are based on mutual trust and respect. To schedule an appointment with our dentist in Hutchinson, Kansas, please contact our office using the information below. We also welcome our friends from the surrounding are

Hutchinson, KS
Thank you for visiting our online office! Here at Hutchinson Family Dental, there is no reason why you cannot receive dental care that is both enjoyable and effective. Dr. Jay Stucky and our caring dental team look forward to building lasting relationships with you and your family that are based on mutual trust and respect. To schedule an appointment with our dentist in Hutchinson, Kansas, please contact our office using the information below. We also welcome our friends from the surrounding are

At Dentistry on the Ponds, the care and comfort of our patients are of utmost importance. We pride ourselves in providing our patients with compassionate, personal, and professional dental care while offering a wide spectrum of dental services and procedures.

Chanhassen, MN
At Dentistry on the Ponds, the care and comfort of our patients are of utmost importance. We pride ourselves in providing our patients with compassionate, personal, and professional dental care while offering a wide spectrum of dental services and procedures.

Our friendly and professional team will provide you and your family with exceptional dental care in a warm and comfortable environment. We offer a variety of treatment options for people of all ages and needs. We accept many types of Dental Insurance and have convenient payment plan options! We are a provider for most dental insurance plans and have payment options available. We also offer CareCredit for those who qualify.

Olathe, KS
Our friendly and professional team will provide you and your family with exceptional dental care in a warm and comfortable environment. We offer a variety of treatment options for people of all ages and needs. We accept many types of Dental Insurance and have convenient payment plan options! We are a provider for most dental insurance plans and have payment options available. We also offer CareCredit for those who qualify.

Before seeing a new dentist, you want to know that you’ll feel comfortable and welcome. At the office of Dr. Jared S. Fox, we believe comfortable and welcome are exactly how you’ll feel. Not only is our team made up of friendly, knowledgeable people who have been in the dental industry for years, but our office also provides every dental chair with a beautiful view of Shunga Park. Imagine looking out over a picturesque view while one of our doctors cares for your smile with some of today’s best

Topeka, KS
Before seeing a new dentist, you want to know that you’ll feel comfortable and welcome. At the office of Dr. Jared S. Fox, we believe comfortable and welcome are exactly how you’ll feel. Not only is our team made up of friendly, knowledgeable people who have been in the dental industry for years, but our office also provides every dental chair with a beautiful view of Shunga Park. Imagine looking out over a picturesque view while one of our doctors cares for your smile with some of today’s best

Oral Surgery and Dental Implants Experience and Expertise Balance, Comfort and Function. Let us give you something to smile about. Dr. Goldenberg is a fellow in the American Association of Oral and Maxillofacial Surgeons, the American College of Oral and Maxillofacial Surgeons, and the American Dental Society of Anesthesia. She is a member in the American Academy of Cosmetic Surgeons, the American Dental Association, the American Medical Association, the Minnesota Dental Association, the Minneso

Coon Rapids, MN
Oral Surgery and Dental Implants Experience and Expertise Balance, Comfort and Function. Let us give you something to smile about. Dr. Goldenberg is a fellow in the American Association of Oral and Maxillofacial Surgeons, the American College of Oral and Maxillofacial Surgeons, and the American Dental Society of Anesthesia. She is a member in the American Academy of Cosmetic Surgeons, the American Dental Association, the American Medical Association, the Minnesota Dental Association, the Minneso

Our Hutchinson dental practice is built on the foundations of trust, mutual respect, extraordinary service and cutting-edge dentistry. We offer truly comprehensive care for Reno County and all over Kansas, and our team cannot wait for you to join our dental family. Our caring team is always here for patients. We provide courteous and quick assistance in making your appointments and helping with dental insurance. Please don't ever hesitate to contact our office about anything you don't understand

Hutchinson, KS
Our Hutchinson dental practice is built on the foundations of trust, mutual respect, extraordinary service and cutting-edge dentistry. We offer truly comprehensive care for Reno County and all over Kansas, and our team cannot wait for you to join our dental family. Our caring team is always here for patients. We provide courteous and quick assistance in making your appointments and helping with dental insurance. Please don't ever hesitate to contact our office about anything you don't understand

At E-Care Dentistry, we love getting to see our patients grow and find confidence in their smiles. We believe in offering a personalized experience for everyone who walks into our comfortable, state-of-the-art office. Our community means the world to us, and we would love to have you join it. From our dentists to our staff, we are here for all of your dental needs. We pride ourselves on offering a wide array of dental services in a comfortable setting that always puts our patients first.

Olathe, KS
At E-Care Dentistry, we love getting to see our patients grow and find confidence in their smiles. We believe in offering a personalized experience for everyone who walks into our comfortable, state-of-the-art office. Our community means the world to us, and we would love to have you join it. From our dentists to our staff, we are here for all of your dental needs. We pride ourselves on offering a wide array of dental services in a comfortable setting that always puts our patients first.
Need teeth whitening?
Browse clinics, compare prices, and read real patient reviews to make an informed decision about your teeth whitening treatment.
For dental professionals
Join the marketplace trusted by patients worldwide. List your teeth whitening services and reach new patients today.
During a professional whitening session, your dentist will apply a bleaching agent to your teeth and may use a special light or laser to enhance the whitening effect. The entire process is painless for most patients and results are visible immediately.
Compare prices & clinics